精彩推荐:
青光眼
白内障
近视
远视
散光
斜视弱视
角膜溃疡
角膜炎
沙眼
眼外伤
更多疾病
大众频道
专业频道
时尚频道
互动频道
疾 病
|
保 健
|
爱眼动态
|
名医名院
知 识
|
美 食
|
自检自测
|
爱眼纪事
资 讯
|
临 床
|
学 术
|
文 献
图 谱
|
医 患
|
继 教
|
家 园
五官之美
|
整 形
|
美 容
眼镜一族
|
妆 容
|
图 库
眼科在线
|
预留位置
眼科知道
|
在线咨询
当前位置:当前位置:
中华眼科在线
→
时尚频道
→
时尚整形
→
整形手术
→ 正文
用户登录
新用户注册
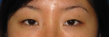
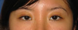
埋线双眼皮照片
http://www.cnophol.com 2011-8-10 9:51:49 中华眼科在线
术前正位 术后5天(埋线法)
来源:爱容网
(责编:xhhdm)
【
发表评论
】【
加入收藏
】【
告诉好友
】【
打印此文
】【
关闭窗口
】
来源:爱容网
下一条信息: 没有了
更多关于(
重睑,双眼皮,埋线双眼皮
)的信息
双眼皮埋线是用的什么线?
韩式双眼皮手术适合您吗?
埋线双眼皮的修复问题
常见的眼部整形手术有哪些
夏天可以做双眼皮吗
哪些人适合割双眼皮呢
韩式双眼皮为你抛去单调单眼皮
割双眼皮要注意的6大潜规则
双眼皮埋线术后护理事项
促使双眼皮快速恢复的方法
热门图文
眼线必杀技 放大眼睛电
缓解眼袋日常灵验小良
天然眼部保养品 自己动
小眼MM看过来 学张韶涵
健康新看点
ad推广
健康多视点
图话健康
华夏近视网
39健康网眼病
中国眼镜网
新浪福建健康
21世纪药店网
千龙求医查疾病
114个性导航
眼科时讯
中华网健康频道
我友健康
眼科新闻
中华碑林医学网
整形美容
英智眼科
浙江眼科网
中国眼网
眼科医学网
久久眼科网
阿里医药眼科网
首席医学网
Copyright © 2007 中华眼科在线 网站备案序列号: 京ICP备08009675号
本网站由
五景药业
主办
北京金鼎盛世医学传媒机构负责运营
国家医学教育发展中心提供学术支持
服务电话:010-63330565 服务邮箱:
[email protected]